
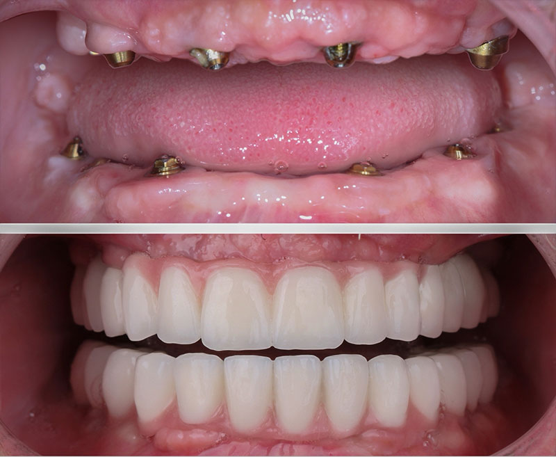
All-On-4 Implants
How does All-on-4 use four implants to support a full-arch prosthesis? All-on-4® treatment provides patients with a full-arch prosthesis over four implants on the day of surgery. All-on-4® is designed to give edentulous patients full function of their mouth and full mouth restoration. It’s heavily advertised as providing 4 implants, but some situations may require more.
All-on-4® overdentures reduce the complexity of treatment, the number of surgeries, and the overall treatment time. It is less expensive compared with fixed implants.
All-on-4® dental implants, also known as hybrid dentures, use high-end denture teeth and acrylic for the best aesthetics, making it the most cost effective choice for any future repairs.
Frequently Asked Questions
What are full mouth dental implants and how do they work?
Full mouth dental implants in South Carolina replace entire arches using implant posts that secure prosthetic teeth, restoring function and aesthetics at Tri-County Dental Arts.
How does the All-on-4 implant procedure restore a full smile?
The All-on-4 implant procedure in James Island uses four strategically placed implants to support a full arch, delivering stable, natural-looking results at Tri-County Dental Arts.
Why are All-on-4 implants considered a permanent tooth replacement?
All-on-4 implants are a permanent tooth replacement in Charleston because they fuse with bone, providing durable support and long-term oral stability at Tri-County Dental Arts.
What are implant supported dentures and who needs them?
Implant-supported dentures in South Carolina are anchored to implants, offering improved comfort and stability for patients with significant tooth loss treated at Tri-County Dental Arts.
